Hva er periodontitt?

Tannløsning kommer som regel av tannkjøttsykdommen periodontitt. Det er en betennelsessykdom som i første rekke rammer det vevet som holder tannen fast.


Denne sykdommen rammer veldig mange, og er den vanligste årsaken til tanntap i Norge. Periodontitt er vanligvis et langsomt voksende problem. Om du ikke får behandling, kan det ta mange år før en tann eller flere tenner går tapt. Ofte kommer de alvorlige symptomene først i sluttfasen, i form av hevelse, verking og løse tenner.

Tannpleiertjenester

 

Vår tannpleiers fremste oppgave er å behandle og forebygge periodontitt (tannløsning), som rammer en veldig stor del av befolkningen.


Har det først dannet seg lommer rundt tennene, som er den vanligste årsaken til tanntap, vil du trenge profesjonell hjelp for å stoppe prosessen. Det er derfor NAV yter stønad til denne typen av behandling,  ubegrenset antall ganger per år. Pasienten betaler kun en moderat egenandel hos oss. Mange opplever dessuten velvære etter rens og puss hos tannpleier. Du føler deg rett og slett ren i munnen, noe de fleste setter svært stor pris på.
perio

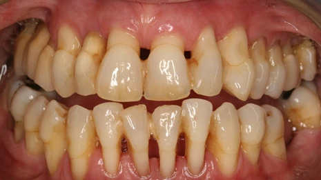
Tegn på periodontitt (Tannkjøttsykdom)


Følgende tegn kan tyde på begynnende tannløsningssykdom (vær oppmerksom på at tannløsningssykdom ikke alltid gir symptomer):

lettblødende og ømt tannkjøtt
tennene kjennes løse
tannkjøttet mellom tennene forandres
stadig dårlig ånde
vedvarende hovent tannkjøtt

Tannsten, dårlig munnhygiene, røyking, stress, arv og visse sykdommer er faktorer som fremskynder utviklingen av tannkjøttsykdom.
 

Den onde sirkelen


Gifter fra visse bakterier i munnen irriterer vevet rundt tannen. Vevet forsvarer seg da med en betennelsesreaksjon, som er kroppens naturlige forsvar mot bakteriene og deres gifter. Iblant bryter betennelsen (inflammasjonen) også ned tannens feste. Benet rundt tennene trekker seg da sakte tilbake, slik at mer av tannfestet forsvinner. Sakte blir nå lommen dypere – en ond sirkel har startet. Det finnes nå plass for mer tannsten og flere bakterier. I sluttfasen, når nesten alt ben rundt tannen har forsvunnet, blir tannen løsere. Betennelsen er nå omfattende og vanligvis oppstår hevelse og verking. En ubehandlet tann med dype lommer betraktes snart som et fremmedlegeme av kroppen. Etterhvert støtes tannen ut og løsner. Tannkjøttet kan da vokse over hullet der tannen var, og infeksjonen forsvinner. Men en tann har gått tapt.
 

Nyttig å vite i forbindelse med periodontitt


Vitenskapelige undersøkelser viser at en majoritet av alle femtiåringer har en eller annen form for periodontitt. 15 prosent av alle voksne har en alvorlig periodontitt og 13 prosent av alle over 65 år har ingen tenner igjen i det hele tatt.

Kontakt oss for råd vedrørende tannkjøttsykdom og tannkjøttbetennelse – ikke vent for lenge!
 

Friskt tannkjøtt blør ikke


En frisk tann har ben som dekker nesten hele roten. Mikroskopiske små tråder fester roten til ben og tannkjøtt. Tannkjøttet beskytter den følsomme overgangen til benet. Tannkjøtt som er friskt blør ikke ved rengjøring f.eks med tanntråd. Om plakk får ligge igjen rundt tennene kan tannkjøttet bli betent. Da får det en mørkere farge, blør lettere, er ømt og klemmer ikke like godt rundt tannen.
 

Tannsten – en trussel


Plakk er det tynne laget av bakterier og matrester som hele tiden dannes i munnen. Ved hjelp av en god rengjøringsteknikk kan du ta bort plakk selv. Sammen med spyttet kan plakk som ikke har blitt fjernet danne tannsten. For å fjerne tannsten kreves en tannleges eller tannpleiers hjelp.

Gammelt plakk og tannsten kan spre seg fra tannkronen og ned i tannkjøttslommen mellom tannkjøttet og tannens øvre del. Tannsten kan også dannes lenger ned i lommen.
periobilde

Våre nettsider bruker cookies

Denne nettsiden bruker informasjonskapsler for å samle inn data fra besøkende. Vi bruker denne informasjonen til å utvikle bedre produkter, tjenester og innhold for deg som bruker av nettsiden.